Featured
- Get link
- X
- Other Apps
Ovarian Teratoma Anti-Nmda Encephalitis
Ovarian Teratoma Anti-Nmda Encephalitis. Wang w, li jm, hu fy, wang r, hong z, he l, et al. She underwent laparoscopic surgery without complications.

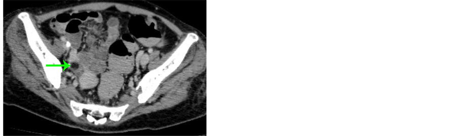
Nmda receptor encephalitis is a rare disease first described in 2007. Early symptoms may include fever, headache, and feeling tired. The patient was transferred to the neurology ward, where an endovaginal ultrasound showed an ovarian teratoma in her right ovary.
One Of Them Is Ovarian Teratoma, Which Mostly Affects Women Below The Age Of 30 Years.
We report on the surprising diagnostic quest in a young black woman with. The patient was transferred to the neurology ward, where an endovaginal ultrasound showed an ovarian teratoma in her right ovary. Our objectives were to analyze prevalence and outcome of this association, and increase awareness over this pathology.
In Some Cases, It Is Associated With Various Tumors;
Gynecological ultrasound or a pelvic mri might be performed to search for an ovarian teratoma in women. The immune reaction elicits the production of an antibody that tells certain types of nmdars to involute into the. Early symptoms may include fever, headache, and feeling tired.
It Commonly Affects Young Women And Presents With A Variety Of Psychiatric And Neurological Manifestations.
Patients present with psychiatric symptoms. She underwent laparoscopic surgery without complications. In some cases, it is associated with various tumors;
The Areas Of The Brain Affected By The Encephalitis, Including Limbic And Forebrain Structures, Express The Nmda Receptor.
1,2 up to 50% of patients have tumors, mainly ovarian teratomas. One of them is ovarian teratoma, which. Subsequent excision confirmed a stage 1a g1 immature ovarian teratoma on histopathological examination.
Medline And Scopus For All Studies.
About 70% of patients with encephalitis present with precursory symptoms such as headache, nausea, diarrhoea, fever, or upper respiratory tract infection. An underlying ovarian teratoma is commonly associated with this autoimmune disease suggesting a role of the tumor in. The condition is potentially fatal.
Comments
Post a Comment